十堰一男子患上膀胱癌
必须切除膀胱保命
可膀胱切掉了,怎么排尿?
想到余生要以尿袋为伴
他一度难以接受
十堰市人民医院
泌尿外科1病区李云飞主任
巧施“针线活儿”
隔着肚皮缝制出“新膀胱”
可以实现自然排尿
这项技术复杂程度高、风险大
在国内仅有少数医生能够开展
这么牛!赶紧往下看
切除膀胱,只能一辈子挂尿袋?
这项技术实现“牵肠不挂肚”
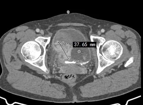
今年69岁的叶大爷(化姓)近半年频繁尿血,因为不痛他就没当回事。最近到十堰市人民医院泌尿外科就诊,被诊断为膀胱癌,大小约5公分肿瘤已经长到了膀胱肌层深部。
▲叶大爷膀胱癌术前片子
叶大爷了解到治疗膀胱癌往往需要切除膀胱,以后得时时刻刻在肚子上挂个袋子排尿,这让他忧心忡忡。
十堰人医泌尿系统疾病中心主任李云飞了解情况后,仔细评估了叶大爷的身体条件,决定为他实施“原位新膀胱手术”。手术利用肠段构建一个新的膀胱,然后与尿道相连。这使患者可以实现与术前一样自然地排尿,无需腹壁悬挂尿袋,提高患者的生活质量。
叶大爷的这台手术长达六个小时,非常考验李云飞主任团队的技术和精力。在腹腔镜下一针一针缝合,整个过程微创、出血量少。叶大爷的手术非常成功,后期恢复也比较快,他非常感谢李云飞医生。
据李云飞介绍,科室自2015年在本地区首次实施“原位新膀胱手术”,目前此手术已占中心全膀胱切除的50%,成为标准化的治疗方案,这也是最能体现泌尿外科实力的标志性手术之一。
▲叶大爷术后复查情况良好
李云飞主任提醒
研究发现,吸烟和长期接触工业化学产品是膀胱癌发生的两大主要危险因素。做好生活中的一些小事,就能最大限度地将膀胱癌拒之门外。
①不吸烟。建议吸烟者一定要戒烟,并且在公共场所营造一个无烟环境,减少二手烟对身体的伤害。
②避免接触苯胺类物质。尤其印染、涂料、装修等行业人员应注意防护。
③增加饮水量。平时养成随时喝水的习惯,不要等渴了再喝水,以免膀胱内代谢废物浓度提高而刺激黏膜,带来致癌隐患。
④不憋尿。有憋尿习惯者,患膀胱癌的可能性比一般人高出3至5倍。
⑤定期检查。膀胱镜等筛查手段都能提高早诊率及生存率。
尿频尿急尿痛!警惕肿瘤“敲门”
出现这些情况,千万别耽搁
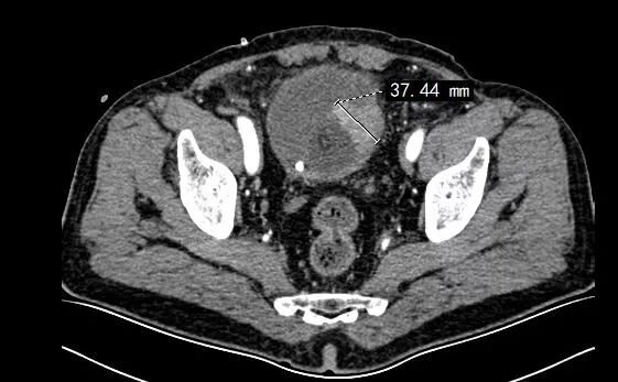
今年3月,69岁的王老太(化姓)经常尿频、尿急、尿痛。本以为是尿道炎,但吃了消炎药症状缓解并不明显,便前往十堰市人民医院泌尿外科就诊。经过膀胱镜及病理检查,发现她膀胱壁有一约3公分的肿瘤,且浸润至膀胱肌层。
▲王老太膀胱壁约3公分的肿瘤
李云飞介绍:“女性的尿道较短,因此相对于男性来说更容易发生尿路感染。长期慢性的炎症刺激就会导致肿瘤的发生,而女性的手术过程也更为复杂和艰难。”
在详细评估了王老太的身体状况后,李云飞专门为她制定了精细的手术方案,腹腔镜下全膀胱根治性切除术+原位新膀胱术。手术截取约45厘米末端回肠,将其重建呈接近球形制做成新膀胱。目前患者已经顺利康复出院,术后不用带尿袋,生活质量接近正常。
李云飞医生提醒,一定要留意身体发出的信号,警惕膀胱癌。即使是女性患者,经医生仔细评估,若符合原位膀胱指征,一样可以做原位新膀胱。术后在尿控及生活质量方面同样可以恢复良好,且相较于男性,手术创伤更少,恢复更快。
膀胱癌的四大症状
①血尿:由于肿瘤表面很脆弱,有很多新生的血管,血管一破,血液就流到膀胱中随尿液一起排出。
②尿频、尿急:两个输尿管口跟尿道的内口区域,神经比较敏感,如果受到病灶的刺激就有想排尿的症状。
③尿痛:一般情况下,膀胱癌是无痛的,有些患者肿瘤长得非常大,表面有破溃,感染合并炎症,就会有尿痛的感觉。
④腰疼:膀胱接收的尿液是来自肾和输尿管,肿瘤如果长在了输尿管开口的位置,堵住输尿管开口,肾脏中的尿液出不来,就会引起肾脏里面压力增高,肾脏积水,伴随腰疼。
李云飞
十堰市人民医院泌尿系统疾病中心主任、泌尿外科1病区主任
医学博士、主任医师、副教授、硕士研究生导师、十堰市优秀中青年拔尖人才、湖北省医师协会泌尿外科分会常务委员、湖北省临床肿瘤泌尿外科分会常务委员、湖北省腔镜技术联盟委员、十堰市泌尿外科质控中心主任。擅长泌尿系肿瘤、前列腺疾病及结石诊疗,尤其擅长腹腔镜下各种复杂及疑难手术,如巨大肾上腺肿瘤/嗜铬细胞瘤切除术、复杂性肾肿瘤保肾手术、婴幼儿先天性巨输尿管整形术、根治性膀胱切除+完全腹腔镜下尿流改道术、根治性前列腺切除、前列腺增生保尿道剜除术等。手术疗效显著,均达到省内领先、国内先进水平。











